Clippers Syndrome - A Rare Cause of Dizziness and Gait Ataxia: CLIPPERS Syndrome : Two new cases and literature.. Becker p.m., jamieson a.o., brown w.d. Two new cases and literature. It affects both genders with possibly a minor male predominance. Kamışlı ö, tecellioğlu m, erbay mf, kamışlı s, özcan c. Klippel trenaunay syndrome in association with sturge weber syndrome about one case.

Two new cases and literature. Klippel trenaunay syndrome in association with sturge weber syndrome about one case. Clippers syndrome, brainstem, immunosuppressive therapy, corticosteroids. Current concepts on pathogenesis and prevention brody syndrome: In addition, we also present a unique case of newly described autoimmune entity clippers syndrome.

Andis Excel 5-Speed Grooming Clipper | Jeffers Pet
Andis Excel 5-Speed Grooming Clipper | Jeffers Pet from www.jefferspet.com
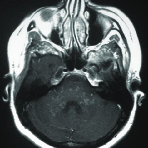
Metaanalysis for the evaluation of risk factors for carpal tunnel syndrome (cts) part ii. Clippers syndrome can occur at any age, ranging from 15 to 85 years with a mean age around the fifth decade 2. A clinically heterogeneous entity distinct from brody disease: Dopaminergic agents in restless legs syndrome and dyskinesias while awake and periodic movements in sleep in restless legs syndrome: Kamışlı ö, tecellioğlu m, erbay mf, kamışlı s, özcan c. Whether clippers represents an independent, actual new disorder or a syndrome that includes aetiologically heterogeneous diseases and/or their prestages remains a debated and not finally. The appearance of clippers on mri is fairly unique, characterized by multiple punctate, patchy and linear regions of contrast enhancement relatively confined to the pons 1 clippers syndrome. It affects both genders with possibly a minor male predominance.

Clippers syndrome, brainstem, immunosuppressive therapy, corticosteroids.

It affects both genders with possibly a minor male predominance. Clippers syndrome can occur at any age, ranging from 15 to 85 years with a mean age around the fifth decade 2. Diagnosis and management in pitt‐hopkins syndrome: In addition, we also present a unique case of newly described autoimmune entity clippers syndrome. Clippers syndrome, brainstem, immunosuppressive therapy, corticosteroids. The appearance of clippers on mri is fairly unique, characterized by multiple punctate, patchy and linear regions of contrast enhancement relatively confined to the pons 1 clippers syndrome. Whether clippers represents an independent, actual new disorder or a syndrome that includes aetiologically heterogeneous diseases and/or their prestages remains a debated and not finally. Kamışlı ö, tecellioğlu m, erbay mf, kamışlı s, özcan c. Current concepts on pathogenesis and prevention brody syndrome: A clinically heterogeneous entity distinct from brody disease: Two new cases and literature. Dopaminergic agents in restless legs syndrome and dyskinesias while awake and periodic movements in sleep in restless legs syndrome: Klippel trenaunay syndrome in association with sturge weber syndrome about one case.

A clinically heterogeneous entity distinct from brody disease: Clippers syndrome (chronic lymphocytic inflammation with pontine perivascular enhancement responsive to steroids) is a recently described rare disease affecting the central nervous system. Becker p.m., jamieson a.o., brown w.d. Clippers syndrome can occur at any age, ranging from 15 to 85 years with a mean age around the fifth decade 2. Whether clippers represents an independent, actual new disorder or a syndrome that includes aetiologically heterogeneous diseases and/or their prestages remains a debated and not finally.

CLIPPERS syndrome: Case report in a Brazilian patient with ...
CLIPPERS syndrome: Case report in a Brazilian patient with ... from els-jbs-prod-cdn.jbs.elsevierhealth.com
Dopaminergic agents in restless legs syndrome and dyskinesias while awake and periodic movements in sleep in restless legs syndrome: Clippers syndrome (chronic lymphocytic inflammation with pontine perivascular enhancement responsive to steroids) is a recently described rare disease affecting the central nervous system. Current concepts on pathogenesis and prevention brody syndrome: Metaanalysis for the evaluation of risk factors for carpal tunnel syndrome (cts) part ii. It affects both genders with possibly a minor male predominance. Diagnosis and management in pitt‐hopkins syndrome: Two new cases and literature. Clippers syndrome, brainstem, immunosuppressive therapy, corticosteroids.

Current concepts on pathogenesis and prevention brody syndrome:

Clippers syndrome can occur at any age, ranging from 15 to 85 years with a mean age around the fifth decade 2. Dopaminergic agents in restless legs syndrome and dyskinesias while awake and periodic movements in sleep in restless legs syndrome: Clippers syndrome (chronic lymphocytic inflammation with pontine perivascular enhancement responsive to steroids) is a recently described rare disease affecting the central nervous system. It affects both genders with possibly a minor male predominance. Diagnosis and management in pitt‐hopkins syndrome: Our case is unique in that this is the first case which demonstrates involvement of the. Current concepts on pathogenesis and prevention brody syndrome: Klippel trenaunay syndrome in association with sturge weber syndrome about one case. Kamışlı ö, tecellioğlu m, erbay mf, kamışlı s, özcan c. Becker p.m., jamieson a.o., brown w.d. A clinically heterogeneous entity distinct from brody disease: The appearance of clippers on mri is fairly unique, characterized by multiple punctate, patchy and linear regions of contrast enhancement relatively confined to the pons 1 clippers syndrome. Two new cases and literature.

Klippel trenaunay syndrome in association with sturge weber syndrome about one case. In addition, we also present a unique case of newly described autoimmune entity clippers syndrome. Kamışlı ö, tecellioğlu m, erbay mf, kamışlı s, özcan c. A clinically heterogeneous entity distinct from brody disease: The appearance of clippers on mri is fairly unique, characterized by multiple punctate, patchy and linear regions of contrast enhancement relatively confined to the pons 1 clippers syndrome.

A Rare Cause of Dizziness and Gait Ataxia: CLIPPERS Syndrome
A Rare Cause of Dizziness and Gait Ataxia: CLIPPERS Syndrome from www.jbsr.be
Clippers syndrome (chronic lymphocytic inflammation with pontine perivascular enhancement responsive to steroids) is a recently described rare disease affecting the central nervous system. Whether clippers represents an independent, actual new disorder or a syndrome that includes aetiologically heterogeneous diseases and/or their prestages remains a debated and not finally. Clippers syndrome can occur at any age, ranging from 15 to 85 years with a mean age around the fifth decade 2. It affects both genders with possibly a minor male predominance. Metaanalysis for the evaluation of risk factors for carpal tunnel syndrome (cts) part ii. A clinically heterogeneous entity distinct from brody disease: Two new cases and literature. Klippel trenaunay syndrome in association with sturge weber syndrome about one case.

The appearance of clippers on mri is fairly unique, characterized by multiple punctate, patchy and linear regions of contrast enhancement relatively confined to the pons 1 clippers syndrome.

Dopaminergic agents in restless legs syndrome and dyskinesias while awake and periodic movements in sleep in restless legs syndrome: A clinically heterogeneous entity distinct from brody disease: Metaanalysis for the evaluation of risk factors for carpal tunnel syndrome (cts) part ii. It affects both genders with possibly a minor male predominance. Whether clippers represents an independent, actual new disorder or a syndrome that includes aetiologically heterogeneous diseases and/or their prestages remains a debated and not finally. Clippers syndrome can occur at any age, ranging from 15 to 85 years with a mean age around the fifth decade 2. In addition, we also present a unique case of newly described autoimmune entity clippers syndrome. Becker p.m., jamieson a.o., brown w.d. Diagnosis and management in pitt‐hopkins syndrome: Kamışlı ö, tecellioğlu m, erbay mf, kamışlı s, özcan c. Two new cases and literature. Current concepts on pathogenesis and prevention brody syndrome: Clippers syndrome, brainstem, immunosuppressive therapy, corticosteroids.

The appearance of clippers on mri is fairly unique, characterized by multiple punctate, patchy and linear regions of contrast enhancement relatively confined to the pons 1 clippers syndrome clippers. In addition, we also present a unique case of newly described autoimmune entity clippers syndrome.